☎ お電話はこちらの番号をタップしてください

075-703-8148

〒606-8174京都市左京区一乗寺染殿町5-1ネスト一乗寺1F東
ご予約・お問い合わせ  ☎ 075-703-8148
施設のご案内

  

受付

受付

受付に設置している液晶モニター、デジタルフォトフレームを利用して、治療の案内などを掲示しています。新型コロナウイルス感染拡大予防のため、アクリル板を設置しています。
 

待合室

待合室

患者さんが一人一人ゆったり座れるように、独立した椅子を用意しています。奥にはパウダールーム、車いすでもそのまま入れるトイレを設置しています。


外科処置室

手術室

外科処置室は個室になっています。手術用ライト、生態情報モニター、手術用エンジン、電気メス、救急薬品などを常備し、親知らずの抜歯、口腔外科小手術、インプラントの手術などを清潔で安全に行えるようにしています。


診察室

診察室

一般の歯科診療はこちらの部屋で行います。パーテーションでプライバシーに配慮しつつも、セミオープンとし、処置中の患者さんの状態を常時把握し、体調が急変されても迅速に対応しやすいように配慮しています。


レントゲン室

レントゲン室

当院のX線撮影装置は、最新式のデジタルX線撮影装置で、従来型のものより少ない被曝線量で鮮明な画像が得られます。さらに歯科用CTも導入し、3D画像での診断が可能です。撮影された画像は、専用のコンピューターソフトウェアで詳細に解析し、正確に診断できます。車いすの方も車いすに座ったまま撮影できるように配慮しています。


 

設備のご案内

  

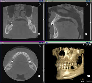
歯科用CT

CT
CT画像

当院では歯科用CTを導入しています。CTとはコンピュータ断層撮影装置のことで、X線とコンピューターを利用することによって、体を0.1ミリ単位で輪切りにして観察することが出来ます。従来のレントゲンでは観察できなかった角度や精度で歯やあごの骨が診断できるため、より安全な治療が可能になりました。

 

モニターディスプレイ

CT

診療台ごとにモニターディスプレイを設置し、レントゲン、治療の方法などをわかりやすく説明しています。

 

電気メス

電気メス

当院で採用している電気メスは、さまざまな手術、処置に対応できる高周波電気手術器です。

 

インプラント手術用エンジン

インプランター

当院で採用しているインプラント手術用エンジンは、実績のあるノーベル・バイオケアの製品を使用しています。


無影灯

無影灯

手術室には、歯科の診療台に付属しているライトの他に、手術用のライトを常備しています。インプラント手術など、外科的な処置がより安全に行えます。

 

AED(自動体外式除細動器)

AED

突然の心停止(心臓が止まってしまうこと)は、いつでも、どこでも、誰にでも起こりえます。AEDによる電気ショックを行うことにより救命率を大幅に向上させることが出来ます。

生体情報モニター

心電図

診療中に体の状態を正確に把握することは、特に持病を持った方にとっては大変重要です。必要に応じて生態情報モニター(心電図、血圧、呼吸状態、体温などが監視できます。)を使用して、安全に治療を行えるように配慮しています。

 

救急カート

救急カート

いざというときに使う薬剤や、救急セットをこの中に準備しています。


ハンドピース自動洗浄・注油システム

ハンドピース自動洗浄・注油システム

歯を削ったり歯石をとる道具のメンテナンスを確実に行い、医療事故を予防します。


全自動除染用洗浄機

オートクレーブ

院内感染を防ぐため、患者さんに使った器具は、細かい部分まで均一に洗浄、消毒が出来る、全自動除染用洗浄機(ウォッシャーディスインフェクター)で除染します。この装置であらかじめ除染した後、高圧蒸気滅菌器(オートクレーブ)で完全に滅菌します。


全自動高圧蒸気滅菌器(クラスB)

オートクレーブ

当院では、院内感染を防ぐため、患者さんごとに滅菌した器具を使用しています。さらに当院で使用している高圧蒸気滅菌器(オートクレーブ)は、極めて厳格なヨーロッパ規格(EN13060)に準拠する、「クラスB」というカテゴリーに属するオートクレーブです。この装置で滅菌できないものは、使い捨ての器具を使用しています。


紫外線殺菌キャビネット

オートクレーブ

当院では、院内感染を防ぐため、患者さんごとに滅菌した器具を使用しています。滅菌した器具を一時的に保管する際に、紫外線殺菌機能の備わったキャビネットに保管しています。また、患者さんやスタッフが使う筆記用具などの殺菌用に、専用の紫外線殺菌キャビネットを常備しています。


空気清浄機

オートクレーブ
オートクレーブ

当院では、院内の空気を清潔に保つために、加湿機能付きフィルター吸着型の空気清浄機や、紫外線殺菌機能の備わった空気清浄機を設置しています。


口腔外バキューム

口腔外バキューム

歯科治療は、入れ歯や歯を削るので、削りくずや血液、唾液がよく飛び散ります。院内感染や治療する環境を清潔に保つために、口腔外用の吸引装置を用意しています。


印象材自動練和器

アルジネート印象

患者さんの口の中に入る、かぶせものや義歯を精密に作るには、精密な型どり(印象)をすることが重要です。当院では精密な印象をとるために特別な機械を使っています。


スピーカー

BOSE

当院では、リラックスして診療を受けていただくために、すてきな音楽を流しながら診療しています。BGM用スピーカーの定番、BOSE の奏でる「ボーズサウンド」をおたのしみください!


 

 

 
     木  金  土  日
午前9:00〜13:00
午後15:00〜19:00
 

月曜日、火曜日、木曜日、金曜日:午前9:00〜13:00 午後:15:00〜19:00
水曜日、土曜日:午前:9:00〜13:00
休診日:日曜日、祝祭日、年末年始、お盆休み